| tooth filling cosmetic silver vs. natural |

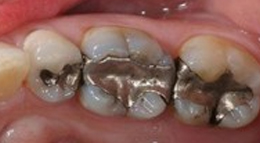
Before |
| |
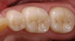
 After |
RESTORATION IMPROVEMENTS
Silver/mercury fillings have been replaced with the technique of composite restorations. Composite filling are much more pleasing to the eye and add strength to the tooth whereas silver fillings can wear down, split, corrode and cause leakage from expanding and contracting.
Thanks to new bonding technologies composite restorations are esthetically pleasing and very strong. |
TECHNIQUE SENSITIVE
Composite restorations require a number of steps and are more involved than the placement of metal fillings. Once the tooth has been prepped for a composite restoration and all decay removed, chemicals and materials are placed on the tooth to increase bond strength and to protect the tooth. Next, the composite material is placed incrementally into the tooth and is hardened by exposure to a special curing light. The restoration is then contoured to fit the bite and then is highly polished.
The resin used in composite restorations contain fluoride and can help prevent tooth decay.
|
Composite fillings can also be a bit more sensitive, at first, to extreme hot and cold and they may discolor over time if the patient smokes or drinks a lot of coffee, tea or cola.